健康热线:

0371-69911111

不忘初心,“医”路同行 ——郑州中康医院介入导管室成立一周年

时间:2019-10-31

一载风雨砥砺,一载春华秋实!2018年11月1日,每个中康家人都铭记于心,在这个特殊的日子里,郑州中康医院介入导管室正式成立,并于当天开展第一例脑血管介入手术,急性脑卒中动脉溶栓及介入取栓技术也随之开展。

郑州中康医院“不忘初心,牢记使命”,努力开展新技术、新业务,填补了新密市地区神经介入的空白,极大程度地提升新密地区脑血管治疗技术,为新密百姓就诊提供了方便,不用再往大城市跑,同时有效缓解了医保资金的外流。郑州中康医院自开展介入工作一年来,共完成心内介入374例,神内介入492例,外周介入15例。神经介入手术创造了新密地区的“九个一”,心内介入创造了“六个一”。

郑州中康医院神经介入“九个一” 

(1)2018年11月1日开展第一例主动脉弓并脑血管造影。

患者:王某 男性  41岁  城关镇

图片
术前
图片
术后
图片

(2)2018年12月7日开展第一例椎动脉支架植入术。

患者:马某 男性 73岁 曲梁乡

图片
术前
图片
术后
图片

(3)2019年1月29日开展基底动脉支架植入术。

患者:张某 男性  56岁  刘寨镇

图片

图片
图片

(4)2019年3月8日开展第一例颈内动脉支架植入术

患者:朱某 男性 59岁 曲梁镇

图片
术前
图片
术后
图片

(5)2019年5月18日开展第一例大脑中动脉支架植入术

患者:马某 男性 75岁 刘寨镇

图片
图片
图片

(6)2018年12月13日开展第一例颅内动脉瘤栓塞术。

患者:赵某  女性 48岁 河南省光山县

图片
图片
图片

(7)2018年11月28日开展第一例下腔静脉滤器植入术。

 患者:魏某  男性  52岁 平陌镇

图片
术前
图片
术后
图片

(8) 2019年1月16日开展第一例脑血管腔内取栓术。

患者:申某  男性 77岁 白寨镇

图片
术前
图片
图片
术后

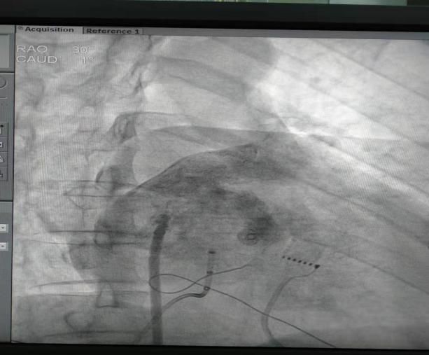
(9) 2018年11月12日开展第一例心脑联合术。

患者:梁某 男性 60岁 青屏办事处

图片
术前
图片
术后

郑州中康医院心内介入“六个一”

(1)2018年12月12日开展第一例肾动脉支架植入术。

患者:赵某 男性 49岁 岳村镇

图片
术前
图片
术后
图片

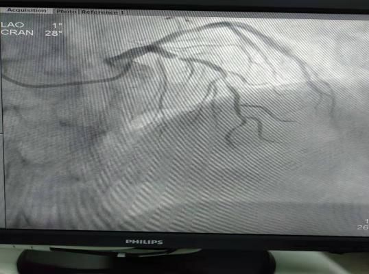
(2)2018年11月2日开展第一例冠状动脉造影术。

患者:孙某  女性48岁 超化镇

图片
术前
术后

(3)2018年11月2日开展第一例冠状动脉支架植入术。

患者:吕某  女性 51岁  超化镇

图片
术后
图片
术前
图片

(4)2019年3月2日开展第一例冠状动脉球囊扩张成形术。

患者:陈某 男性  62岁  白寨镇

图片
图片

(5)2018年11月28日开展第一例肺静脉造影术+房颤消融术。

患者:韩某  女性 60岁  岳村镇

图片
图片
图片

(6)2018年11月21日开展第一例射频消融术。

患者:王某  男性 66岁  刘寨镇

图片
图片

一年间,岁月弹指一挥间;一年间,郑州中康医院介入导管室由一个襁褓里的婴儿长大成人,正当弱冠年华。道路是曲折的,前途是光明的,只要团结一致,不忘初心,必能开启崭新起点。

未来,郑州中康医院全体医护人员,将不忘初心,牢记使命,继续前行,竭诚为患者提供更高水平、更优质的医疗服务,为患者的健康保驾护航!

咨询电话:1383857934


医院简介  丨  联系我们  丨  就医须知  丨  在线留言  丨  来院路线

经营理念:铸高端人才 创精品医院
医院信仰:心存大爱 成就大医
医院愿景 : 百年中康 傲立中原

郑州中康医院 版权所有
备案号: 豫ICP备17003818号-3 豫公网安备:41018302000553号
技术支持:锐拓云